Home
About
Support Us
Disclaimer
Privacy Policy
Terms & Condition
Header Ads
Get paid to share your links!
Home
Biology
Physics
Chemistry
Astronomy
Spaceflight
Scie Alert
Support
DMCA
_Disclaimer
_Privacy-Policy
_Terms And Condition
_Under Construction
__Building N Progress 1
__Building N Progress 2
Home
/
science update
/
ScienceTechyNews: Remarkable MRI Study Reveals How Some People Function With Only Half a Brain
ScienceTechyNews: Remarkable MRI Study Reveals How Some People Function With Only Half a Brain
майкл механикs
10:32 PM
science update
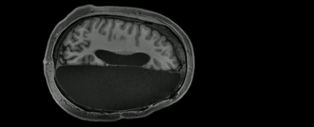
No hemisphere? No problem.
by Tessa Koumoundouros
No comments
Subscribe to:
Post Comments ( Atom )
Popular Posts
ScienceTechyNews: Illinois researchers add 'time-travel' feature to drives to fight ransomware attacks
ScienceTechyNews: Sex drug 'effective' as heart failure treatment
ScienceTechyNews: ICSI has no outcome benefits over conventional IVF in routine non-male infertility cases
Categories
astronomy
(10)
biology
(5)
chemistry
(5)
physics
(5)
science update
(10786)
spaceflight
(7622)
Recent Comments
Tags
astronomy
biology
chemistry
physics
science update
spaceflight
Powered by
Blogger
.
Post a Comment